荣格工业资源APP
了解工业圈,从荣格工业资源APP开始。
大分子活性成分难以穿透角质层,一直是化妆品配方领域的核心难题。表皮生长因子(epidermal growth factor, EGF)作为经典的皮肤再生和抗老成分,因分子量较大、蛋白质结构复杂,外用时透皮吸收效率有限。韩国仁荷大学医院(Inha University Hospital)皮肤科团队联合临床测试机构 Humantest 和原料企业 B&B Korea,开发了一种基于弹性体脂质体(elastosome)技术的 EGF 递送系统,并将研究成果发表于开放获取期刊《Cosmetics》。

弹性膜结构突破渗透瓶颈
传统脂质体由脂质双分子层构成,能够包裹亲水和亲脂性成分,在化妆品递送领域应用已久。问题在于,常规脂质体的膜结构相对刚性,难以有效穿过角质层致密的脂质屏障。
弹性体脂质体的核心改进在于膜的柔韧性。研究团队在脂质双分子层中引入单链表面活性剂组分,使囊泡具备高度形变能力,能够“挤过”角质层细胞间的微观间隙。传统脂质体类似刚性的网球,弹性体脂质体则像可以随意挤压变形的减压球。
研究团队将 50ppm EGF 与 5% 右泛醇(dexpanthenol)和烟酰胺单核苷酸(nicotinamide mononucleotide, NMN)共同装载,开发出名为“EGF FLEXIR-SOME”的配方平台。右泛醇本身是成熟的保湿和屏障修复成分,在该体系中同时充当渗透效率的示踪标记物。

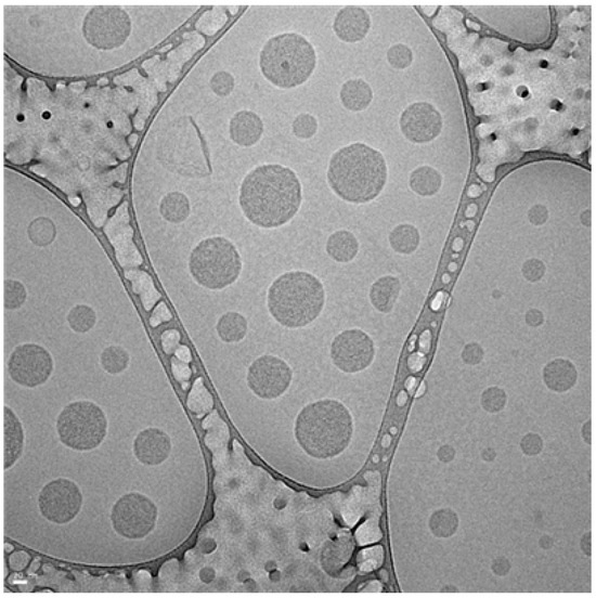
图:EGF FLEXIR-SOME 颗粒的结构,放大倍率:100K
粒径、电位与稳定性
配方采用 1000 bar 高压微射流均质工艺,经三次循环处理制备。冷冻透射电镜(Cryo-TEM)确认了囊泡的球形结构完整性。
关键理化参数方面,平均粒径 124.8 ± 1.5 nm(对照组常规脂质体为 127.9 ± 2.2 nm),处于 100 至 200 nm 的化妆品应用理想区间;Zeta 电位为 -57.53 mV,显著高于对照组的 -45.08 mV,意味着更强的胶体稳定性和更低的聚集倾向。Turbiscan 稳定性测试在 25°C 和 40°C 条件下进行 24 小时、50 次扫描后,未观察到明显的时间依赖性变化。HPLC 分析确认右泛醇的实际包封浓度为 5.05 ± 0.01%,与目标值一致。
弹性体脂质体组检出吸收,对照组未检出
渗透实验使用 Franz 扩散池搭配 Strat-M 人工皮肤膜,在 33°C 条件下分别于 6、16 和 24 小时取样。以右泛醇为标记物,UV-Vis 分析显示,弹性体脂质体组在 6 小时即检出 210-230 nm 波长处的吸收峰,且峰强度随时间持续增加。对照组常规脂质体在整个 24 小时测试期内均未检出吸收峰。
需要指出的是,该实验使用的是商业化人工膜而非人体皮肤组织,结果反映的是体外条件下的渗透差异。
22 名受试者,两周半面对照
研究团队随后开展了临床试验,招募 22 名 30 岁以上的健康韩国女性,采用随机半面设计(split-face method),受试者面部两侧分别涂抹含 2%(相当于 1ppm EGF)和 8%(相当于 4ppm EGF)弹性体脂质体原料的面霜,每日一次,持续 14 天。每侧的基线测量值作为自身对照。
2% 浓度组的主要结果显示,眼周皮肤弹性(Cutometer R7 值)提升 9.87%(p < 0.001);皱纹深度(Antera 3D 算术平均粗糙度 Ra)下降 8.97%(p < 0.001);面颊皮肤松弛角度下降 6.15%(p < 0.001)。综合弹性、粗糙度和松弛度三项指标计算的皮肤年龄指数从 39.47 降至 33.86,改善率 14.21%(p < 0.001)。
8% 浓度组同样呈现统计学显著改善,弹性提升 7.41%,皱纹深度下降 5.82%,皮肤年龄指数改善 10.49%。
一个值得注意的现象是,低浓度组的改善幅度反而略优于高浓度组。研究者认为,2% 浓度可能已在 14 天内达到生物饱和点,掩盖了更高剂量的增量效益。论文明确将此列为研究局限之一,建议后续开展更大样本量和更长周期的剂量-效应研究。
保湿与屏障修复
另一组临床试验纳入 21 名健康韩国成年女性(平均年龄 49.2 岁),评估保湿和屏障修复效果。
单次涂抹后,前臂皮肤介电常数(permittivity)从 6.10 ± 1.97 升至 33.46 ± 4.05(p < 0.001),改善率 448.52%。皮肤经物理刺激后,测试组的经皮水分散失(TEWL)改善率为 31.57%,对照组为 10.59%(p < 0.001)。
色素沉着方面,受试者连续两周每日早晚使用后,面颊黑色素含量下降 7.89%(p = 0.009)。
安全性评价在 32 名受试者中进行斑贴试验,2% 和 8% 两种浓度的平均皮肤反应评分均为 0.00,被判定为无刺激性,未报告不良反应。
研究局限与展望
这项临床试验未设置脂质体对照组面霜进行直接对比,而是优先聚焦于弹性体脂质体配方自身的剂量-效应分析;受试人群限于健康韩国成年女性,种族多样性不足;2% 和 8% 浓度未呈现清晰的剂量依赖关系,精确的生物饱和阈值有待进一步确定。研究者建议未来纳入更大规模样本、更广泛浓度梯度、更多元的种族群体,并与醇质体(ethosome)、固体脂质纳米粒(solid lipid nanoparticle)等其他先进递送平台进行临床对照。
论文利益冲突声明显示,6 名作者为 B&B Korea 员工(该公司开发了 EGF FLEXIR-SOME 配方),1 名作者为临床测试机构 Humantest 员工。研究称研究严格按照 IRB 批准的方案执行,以确保临床数据的客观性和完整性。
参考自 Cosmetics 期刊论文,DOI: 10.3390/cosmetics13010010
来源:![]()
作者:John Xie

