荣格工业资源APP
了解工业圈,从荣格工业资源APP开始。
近日,Stratasys公司已将其放射性显影3D打印材料RadioMatrix在美国全面推向商业市场。此举可能改变医学影像培训模式,使医院和研究人员能够获得逼真、可重复使用的模型,这些模型在X光和CT扫描中能呈现出与真实人体组织相同的显影效果。
RadioMatrix是一种专为Stratasys PolyJet打印机设计的光敏聚合物材料,特别适用于J750和J850数字解剖系统。这些设备已能打印用于手术规划与教学的软组织、骨骼及血管结构。如今,借助RadioMatrix材料,它们还能制造出在医学影像下呈现真实解剖结构特性的模型。简而言之,过去仅能模拟器官触感的同一台打印机,现在还能模拟该器官在扫描影像中的呈现效果。

RadioMatrix的核心特性在于可控性。用户能够“调节”打印部件的放射线不透明度,使其精确匹配骨骼、灰质、脂肪、静脉或放射科医师需要观测的任何组织结构。这意味着医院可以打印出包含不同密度区域的完整器官模型,且各区域的密度值与真实患者数据完全吻合。
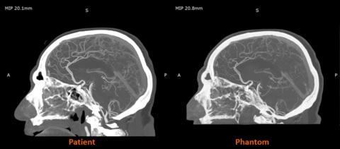
要理解这项技术的重要性,需要引入“亨氏单位”的概念。CT扫描仪正是通过这个标度来衡量组织密度的。专家指出,骨骼因具有较高的亨氏单位值而在影像中呈现亮色,而脂肪由于单位值较低则显示为暗区。一种在扫描影像中呈现逼真效果的材料,其亨氏单位值必须严格符合相应组织的实际范围。
事实上,Stratasys与西门子医疗的早期合作研究显示,RadioMatrix能够以惊人的精度匹配这些数值。据公司数据,在某些测试中,其偏差值可低至1个亨氏单位,这意味着扫描仪几乎无法区分打印模型与真实人体组织的差异。对于任何合成体模而言,这种精密度都极为罕见,而这正是RadioMatrix真正变革性的价值所在。

真实患者影像与体模影像的对比
无需解剖尸体的放射科医师培训
数十年来,放射学教育严重依赖尸体以及由塑料或凝胶制成的基础体模。然而,这两种方式均存在局限性。尸体虽具有真实解剖结构,但成本高昂、资源稀缺,甚至涉及伦理争议。传统体模虽易于获取,却无法模拟真实人体组织的特性,既不能针对特定病理进行定制,也无法批量生产以保证培训的一致性。
市售的现成体模与躯干模型价格可达数千美元。例如Anatomy Warehouse的静态成年男性头部体模售价9552美元,GT Simulators用于X光、CT及MRI训练的成年人躯干体模则需18900美元。而京都科学(Kyoto Kagaku)等品牌推出的具有活动部件或更高复杂度的专业躯干系统,价格更可高达45000美元以上。

多功能胸部体模N1 Lungman
相比之下,美国传统解剖尸体的采购成本通常在2000至5000美元之间,但这尚未包含储存、防腐处理、实验室空间及后期处置产生的额外费用。上述成本结构清晰表明,对于已配备3D打印设备的医疗机构而言,RadioMatrix这类可重复使用、具有放射显影特性的3D打印模型,正以其显著的性价比优势吸引着越来越多的关注。
RadioMatrix打破了传统限制。例如,放射科可以批量打印完全相同的动脉、肿瘤或血管结构模型。学员能使用具有统一目标区域、病灶特征及路径的模型进行训练;研究人员则可开展对照实验,无需等待捐赠材料或依赖与临床实际脱节的通用体模。

静态成年男性头部体模模型
目前该材料已在英国博蒙特医院等机构投入应用。通过3D打印的脑血管造影模型,医生们正进行影像引导手术的实操培训。这些早期实践表明,具有放射显影特性的打印解剖模型能使培训过程更标准化、可重复性更强,尤其对于需要精准操作微小血管的术式具有显著价值。
在美国,医学院与影像中心的数量远超解剖实验室。许多规模较小的教学项目仅能获得数小时的共享遗体使用时间,或依赖在现代CT扫描中显影失真的传统训练体模。RadioMatrix为这类机构提供了新的解决方案。

RadioMatrix材料应用领域
该材料的潜在影响还延伸至医疗器械测试领域。研发新型导管、植入物或影像工具的企业常需等待数周才能获得遗体实验资源,且每次获取的解剖结构都存在差异。通过RadioMatrix技术,企业可精确打印所需解剖模型并随时进行测试。这意味着医疗器械开发周期得以加速,因等待捐赠材料导致的研发延误也将大幅减少。
Stratasys指出,该技术的目标不仅是提升医学教育质量,更在于加强影像算法的验证机制。通过将数字解剖打印技术与精准的放射显影特性相结合,研究人员能够为人工智能及影像软件创建高度逼真的体模数据集——这些数据集在反复扫描中能保持完全一致的显影特征,而这对于传统解剖遗体或常规体模而言几乎是无法实现的。

