荣格工业资源APP
了解工业圈,从荣格工业资源APP开始。
如今受到现代生活方式、环境因素和个体因素的影响,人们的皮肤面临更多挑战,各类皮肤问题层出不穷。
尤其是近几年,敏感肌人群占比越来越高,相应的敏感肌护肤市场规模也日益壮大,预计2025年将突破500亿。

对于敏感肌群体来说,日常护肤不仅要应对干痒刺痛、红斑灼热等常规性敏感症状,还要时刻警惕皮肤松弛、干瘪粗糙、皱纹眼袋等皮肤衰老问题。

正常健康且耐受性强的皮肤,护肤简直是信手拈来,在成分的选择上也占据极大优势。火遍全网的“早C晚A”护肤法轻松上手,A醇、烟酰胺等热门成分随买随用,“尝鲜”成本更低。

然而敏感肌人群解决常规性问题就已费心费力,若想进阶护肤,针对性改善皮肤衰老问题,则容易陷入“猛药不敢试,适用却无效”的尴尬境地。
那么,有没有类似“早C晚A”且敏肌适用的进阶护肤公式?能否找到温和有效的敏肌抗衰成分?今天就跟着尚捷优蓝研究院走近敏肌进阶护肤,一起了解敏肌抗衰话题吧!

敏感肌及其成因

目前,关于敏感肌仍没有统一的定论,客观来说敏感肌也不属于一种皮肤类型,可认为是一种对外界环境变化和使用护理产品时表现出不耐受的皮肤状态,无论是干性还是油性肌肤都可能会有敏感肌问题,它区别于皮肤过敏,属于皮肤的亚健康状态。

敏感肌强调皮肤“耐受力差”且长期处于屏障受损、屏障脆弱状态,常伴有紧绷感、刺痛感,短时间的灼烧感,持续性的痒感等主观感受,或伴有毛细血管扩张、潮红以及红斑,脱屑干燥等客观现象,容易受温度变化、紫外线、粉尘等外界刺激的影响从而产生过敏反应。

皮肤过敏则是指人体接触到某些过敏原引起的皮肤病,主要表现为多种皮炎、湿疹、荨麻疹等。接触过敏原、吸入过敏原都有可能引起相应的过敏反应,需要通过药物治疗,这与敏感肌有着本质上的区别。

敏感肌的诱因很多,可分为环境、生活方式、化学物质等外源性因素,以及内分泌、基因遗传、疾病、生理周期等内在因素。
环境因素主要有季节交替、空气污染、紫外线强度等;过度或不恰当的皮肤护理手段、熬夜、饮食不健康等生活习惯也会促使皮肤敏感;日用化妆品、染发剂、洗涤剂等产品中的刺激性化学物质也会诱发皮肤敏感。

此外,本身具有特应性皮炎、银屑病、酒渣鼻等皮肤疾病以及内部器官病变的人群也容易形成敏感肌肤。

“早P晚R”护肤新公式

敏感肌本身存在皮肤屏障受损或屏障薄弱、皮肤耐受力差等问题,抵御外界刺激的能力更弱,对引起光老化的紫外线更敏感,常发生刺痛、泛红、烧灼等不适感,也更容易出现干纹、细纹、肌肤弹性降低等衰老问题。

因此,敏感肌抗衰需要建立在预防刺激、稳固屏障的基础上,不可直接照搬“早C晚A”公式,贸然尝试高浓度维生素C、视黄醇等具有明显刺激性的护肤“猛药”,否则将引发更严重的皮肤问题。

相比之下,“早P晚R”护肤公式会更适用。所谓的“P”是白天做好防护(Protect),包括抗光、抗污染、抗氧化损伤等;“R”则是夜间做好修护(Recover),包括修护屏障、缓解刺激、温和抗老等。

“早P晚R”公式的原理来自2017年获得诺贝尔生理学或医学奖的昼夜节律机制,相关研究也证实,顺应皮肤作息进行日常护理,能显著提高护肤效率,产生更好的效果。

而且该公式以防护和修护为主,通过温和有效的成分来加持,可直接完成基础护肤和进阶护肤两大目标,符合长期护肤主义理念,可谓是敏感肌护肤的黄金公式。

尚捷优蓝敏肌护肤方案

针对敏感肌护肤的特殊需求,尚捷优蓝给大家推荐一款可同时达到防护、修护和抗衰效果的成分——Landivine® Mobius8™ 钻耀奇迹。

该成分是尚捷优蓝研究院经过严格的产地筛选,反复对比国内外黑松露的生物活性物后,从云南高黎贡山野生优质黑松露中提取得到的专利成分(专利号:ZL 2022 1 0942198.X),不仅具备天然优势,制备工艺及应用效果也十分突出。

白天紫外线辐射、环境污染、电子辐射等外部刺激过多,皮肤容易产生大量的自由基,而钻耀奇迹可以显著抑制DPPH、ABTS等多种自由基,高效防止氧化应激损伤,起到良好的防护作用。

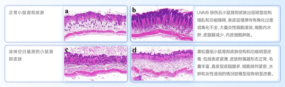
到了夜间,使用钻耀奇迹则可以保护皮肤组织,修护UVA/B造成的皮损,提升皮肤含水量,降低皮肤的水分散失,一键加速屏障修护,减少干纹、细纹等衰老症状的出现。



与此同时,它还能抑制基质金属蛋白酶活性,减少胶原蛋白降解,刺激多种胶原蛋白新生,提升皮肤弹性,改善皮肤下垂、松弛与皱纹,延缓皮肤衰老。


钻耀奇迹成分温和,又集防护、修护、抗衰等多重功效于一体,称得上是敏肌抗衰的理想成分,即便是单一成分,也完全符合极具科学性的“早P晚R”护肤原则。
目前化妆品行业发展迅速,各种护肤新潮、新概念不断涌现,虽然敏感肌不能随心所欲地追赶潮流,但也能找到“稳中求进”的长期护肤方式,得以实现抗衰老等进阶目标。
如果你也是敏感肌,看完这篇文章就可以实践起来了!